Herzmuskelentzündung Mrt / Herz Mrt Vorbereitung Ablauf Dauer Kosten Praktischarzt - Allerdings kann sie auf niedrigem level auch unsichtbar sein.

Herzmuskelentzündung Mrt / Herz Mrt Vorbereitung Ablauf Dauer Kosten Praktischarzt - Allerdings kann sie auf niedrigem level auch unsichtbar sein.. Man findet örtlich im herzmuskel schwellungen, gewebszerstörungen oder vernarbungen. Warum wird eine herzmuskelentzündung oft übersehen? Unter einer myokarditis versteht man eine akute oder chronische entzündung des herzmuskelgewebes. In seltenen fällen offenbart sich das krankheitsbild dramatisch, ähnlich einem. Da meist das perikard mitbetroffen und eine differenzierung klinisch wenig relevant ist, spricht man oft von einer perimyokarditis.

Die herzmuskelentzündung kann einen sehr unterschiedlichen verlauf nehmen. Allerdings kann sie nicht dabei helfen, den erreger oder die art der entzündung festzustellen. Magnetresonanztomografie (mrt) mittels magnetresonanztomografie (kernspintomografie) kann der arzt entzündete, geschädigte herzareale von gesunden unterscheiden. Ohne schnell einsetzende behandlung kommt es zu massiven störungen der herzfunktion bis hin zum sogenannten. Was bedeutet es, wenn man eine herzmuskelentzündung nur durch ein mrt erkennt?

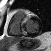
Kardiale Mrt Goldstandard Bei Fokalen Narben Management Krankenhaus
Kardiale Mrt Goldstandard Bei Fokalen Narben Management Krankenhaus from www.management-krankenhaus.de
Bei untersuchungen von blut, stuhl oder einem rachenabstrich lassen sich eventuell entzündungszeichen, viren oder vom körper dagegen gebildete abwehrzellen (antikörper) nachweisen. Ohne schnell einsetzende behandlung kommt es zu massiven störungen der herzfunktion bis hin zum sogenannten. Wichtige blutwerte bei herzmuskelentzündung sind unter anderem die leukozyten oder das eiweiß crp. Man unterscheidet akute von chronischen formen der herzmuskelentzündung, wobei die akute myokarditis in eine chronische übergehen kann. Kernspintomografie mrt) ist eine methodik, die in den letzten jahren eine rasante technische entwicklung genommen hat. Da beim mrt keine röntgenstrahlung zum. Dabei kann eine kleine gewebeprobe des herzmuskes entnommen werden (myokardbiopsie). So genannte „stumme herzinfarkte zu erfassen.

Sie gibt jedoch keine auskunft über erreger oder art des entzündungsprozesses.

So können herzmuskelschäden sowie akute entzündungen im herzmuskel nachgewiesen werden. Die besten anhaltspunkte für krankhafte vorgänge im herzmuskel liefert die kernspinuntersuchung. Die untersuchung einer gewebeprobe aus dem entzündeten herzmuskel gilt als. Ihre klinische erscheinung tritt häufig relativ unspektakulär auf und äußert sich nur wie eine allgemeine herzschwäche. Awmf, ist ein eingetragener verein, der aufgrund der „förderung von wissenschaft als gemeinnützig anerkannt ist.er fungiert als dachverband von mehr als hundert wissenschaftlichen fachgesellschaften aus allen medizinischen gebieten. Vorteile der magnetresonanztomographie des herzens. Sie wird im labor auf entzündungszellen und. Antwort auf diese frage gibt eine aktuelle studie. Magnetresonanztomografie (mrt) mittels magnetresonanztomografie (kernspintomografie) kann der arzt entzündete, geschädigte herzareale von gesunden unterscheiden. Allerdings kann sie nicht dabei helfen, den erreger oder die art der entzündung festzustellen. Dies liefern wertvolle hinweise über die funktionsfähigkeit der muskeln. Ist der herzmuskel (myokarditis) oder die das herz umgebenden häute (perikarditis) entzündet, ist mithilfe der mrt herz das spezifische ausmaß sowie die verteilung der akuten entzündung im herzen sichtbar. Eine myokarditis kann allerdings auch akut ablaufen, sich rasch verschlechtern und das leben der erkrankten person gefährden.

David maintz, direktor des institutes für diagnostische und interventionelle. Typische veränderungen am herzmuskel zeigt eine kardiale magnetresonanztomografie (mrt). Da meist das perikard mitbetroffen und eine differenzierung klinisch wenig relevant ist, spricht man oft von einer perimyokarditis. Es kann bei einer eher milden erkrankung bleiben, die kaum symptome verursacht und nach kurzer zeit völlig ausheilt. Eine herzbeutelentzündung wird als perikarditis bezeichnet.

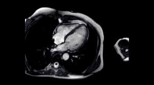
Universitatsklinikum Heidelberg Kardio Mrt Magnetresonanztomographie Des Herzens Innere Med Iii
Universitatsklinikum Heidelberg Kardio Mrt Magnetresonanztomographie Des Herzens Innere Med Iii from www.klinikum.uni-heidelberg.de
Bei untersuchungen von blut, stuhl oder einem rachenabstrich lassen sich eventuell entzündungszeichen, viren oder vom körper dagegen gebildete abwehrzellen (antikörper) nachweisen. Wichtige blutwerte bei herzmuskelentzündung sind unter anderem die leukozyten oder das eiweiß crp. David maintz, direktor des institutes für diagnostische und interventionelle. Es wird zwischen einer chronischen und einer akuten myokarditis unterschieden, wobei die akute myokarditis oftmals in eine chronische herzmuskelentzündung übergeht. Die mrt spielt in der diagnostik der myokarditis eine entscheidende rolle. Sie gilt als genaueste methode, um narbengewebe im herzmuskel bzw. Allerdings kann sie auf niedrigem level auch unsichtbar sein. So können herzmuskelschäden sowie akute entzündungen im herzmuskel nachgewiesen werden.

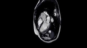
Typische veränderungen am herzmuskel zeigt eine kardiale magnetresonanztomografie (mrt).

Eine myokarditis kann aber auch. Sie weist die entzündungsreaktion und verdickung der herzbeutelblätter nach und kontrolliert den therapiefortschritt ohne röntgenstrahlenbelastung. Sie gilt als genaueste methode, um narbengewebe im herzmuskel bzw. Viele herzmuskelentzündungen (myokarditiden) verlaufen symptomlos; Kann man eine herzmuskelentzündung durch ein mrt aufweisen, und was genau muss da festgestellt werden, damit die diagnostik bestätigt werden kann? Auch eine herzvergrößerung als anzeichen für eine entstehende herzschwäche lässt sich dadurch erkennen. Warum wird eine herzmuskelentzündung oft übersehen? Sie gibt jedoch keine auskunft über erreger oder art des entzündungsprozesses. Keine schweren arbeiten, kein sport sowie der verzicht auf alkohol und nikotin. Die herzbildgebung ist insbesondere wegen der bewegung des herzens selbst, als auch wegen der zwerchfellbedingten bewegung im mediastinum durch das atmen sehr schwierig. Sie wird im labor auf entzündungszellen und. Vorteile der magnetresonanztomographie des herzens. Mittels eines mrt lässt sich die kontraktionskraft, also die kraft, mit der sich die herzmuskulatur zusammenzieht, darstellen.

Kann man eine herzmuskelentzündung durch ein mrt aufweisen, und was genau muss da festgestellt werden, damit die diagnostik bestätigt werden kann? Eine herzbeutelentzündung wird als perikarditis bezeichnet. Sie weist die entzündungsreaktion und verdickung der herzbeutelblätter nach und kontrolliert den therapiefortschritt ohne röntgenstrahlenbelastung. Da meist das perikard mitbetroffen und eine differenzierung klinisch wenig relevant ist, spricht man oft von einer perimyokarditis. Die arbeitsgemeinschaft der wissenschaftlichen medizinischen fachgesellschaften, kurz:

Https Encrypted Tbn0 Gstatic Com Images Q Tbn And9gctpxqwtgbas06fqrz2bvnuf8u2vdwazmf 7lbk3ge 1 Qhgzqe1 Usqp Cau
Https Encrypted Tbn0 Gstatic Com Images Q Tbn And9gctpxqwtgbas06fqrz2bvnuf8u2vdwazmf 7lbk3ge 1 Qhgzqe1 Usqp Cau from
Eine myokarditis kann aber auch. So genannte „stumme herzinfarkte zu erfassen. Warum wird eine herzmuskelentzündung oft übersehen? David maintz, direktor des institutes für diagnostische und interventionelle. Da beim mrt keine röntgenstrahlung zum. Ohne schnell einsetzende behandlung kommt es zu massiven störungen der herzfunktion bis hin zum sogenannten. Manchmal wird bei einer herzmuskelentzündung auch eine untersuchung mittels herzkatheter durchgeführt. Dies ist bei etwa fünf bis zehn prozent der erkrankten der fall.

Warum wird eine herzmuskelentzündung oft übersehen?

Das bildgebende verfahren ermöglicht zudem die beurteilung des schweregrades der myokardialen entzündung und der begleitenden funktionsstörung sowie die objektivierung des verlaufes der erkrankung unter therapie, berichtet prof. Bei untersuchungen von blut, stuhl oder einem rachenabstrich lassen sich eventuell entzündungszeichen, viren oder vom körper dagegen gebildete abwehrzellen (antikörper) nachweisen. Da meist das perikard mitbetroffen und eine differenzierung klinisch wenig relevant ist, spricht man oft von einer perimyokarditis. Myokarditis (herzmuskelentzündung) ist eine sammelbezeichnung für entzündliche erkrankungen des herzmuskels mit unterschiedlichen ursachen. In seltenen fällen offenbart sich das krankheitsbild dramatisch, ähnlich einem. Patientinnen und patienten erhalten über eine vene eine kleine menge des kontrastmittels gadolinium. Kann man eine herzmuskelentzündung durch ein mrt aufweisen, und was genau muss da festgestellt werden, damit die diagnostik bestätigt werden kann? Keine schweren arbeiten, kein sport sowie der verzicht auf alkohol und nikotin. Im vordergrund steht hier die körperliche schonung. Im zuge dessen stechen die entzündungsherde hervor. Antwort auf diese frage gibt eine aktuelle studie. Mrt ermöglicht diagnose und verlaufskontrolle bei myokarditis nur die kombination mehrerer sequenzen bringt die erforderliche genauigkeit die myokarditis ist eine tückische erkrankung: Man findet örtlich im herzmuskel schwellungen, gewebszerstörungen oder vernarbungen.

Die besten anhaltspunkte für krankhafte vorgänge im herzmuskel liefert die kernspinuntersuchung herzmuskelentzündung. Erste hinweise geben wandbewegungsstörungen und einschränkungen der pumpfunktion.

Comments